- Gender
- Male
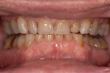
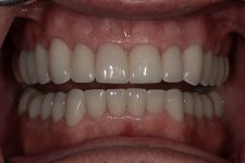
Description
This patient received a Saving Natural Teeth in Roseville, CA. Contact us online or call (916) 783-0122 to schedule your dental consultation with Dr. Jefferson Lee Clark.
This patient received a Saving Natural Teeth in Roseville, CA. Contact us online or call (916) 783-0122 to schedule your dental consultation with Dr. Jefferson Lee Clark.